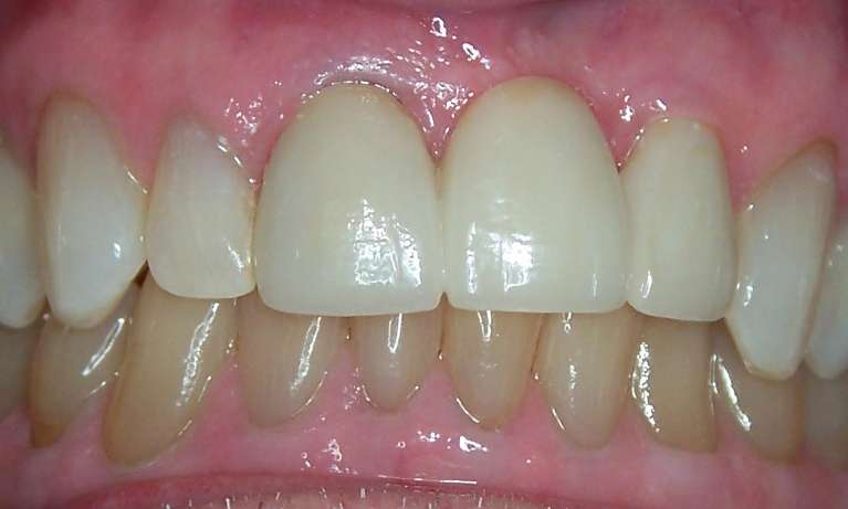
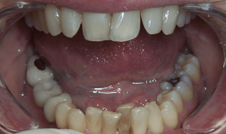
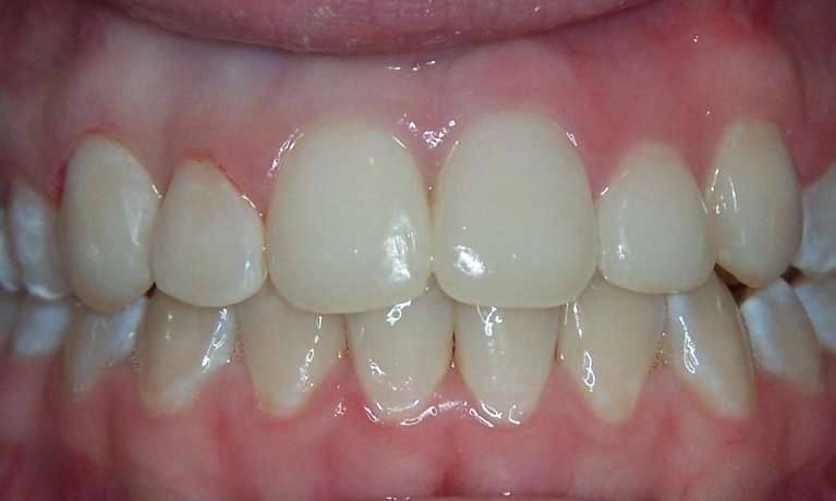
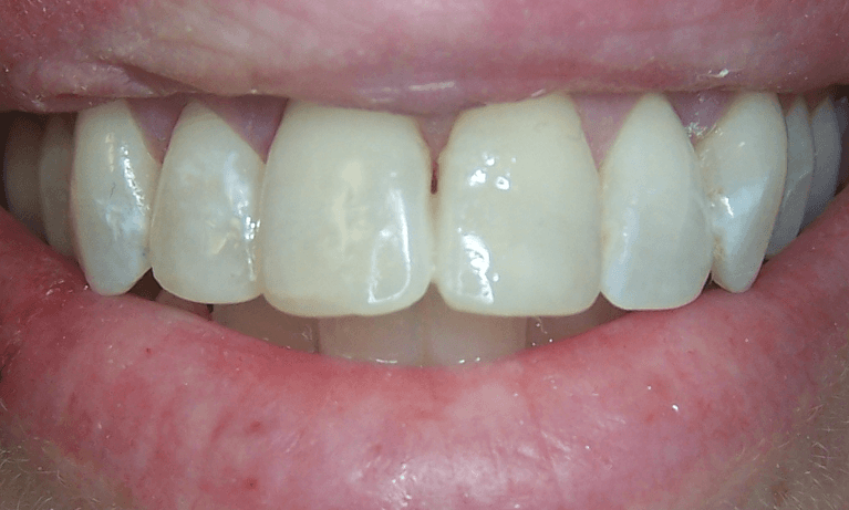
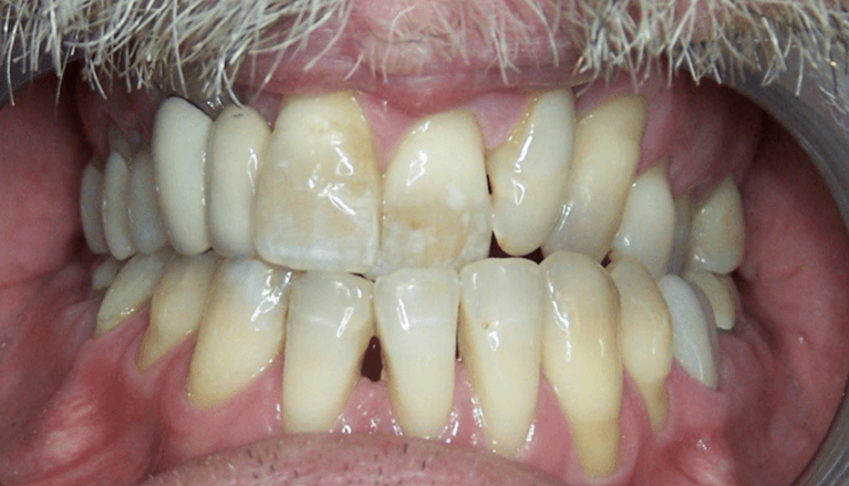
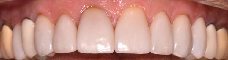
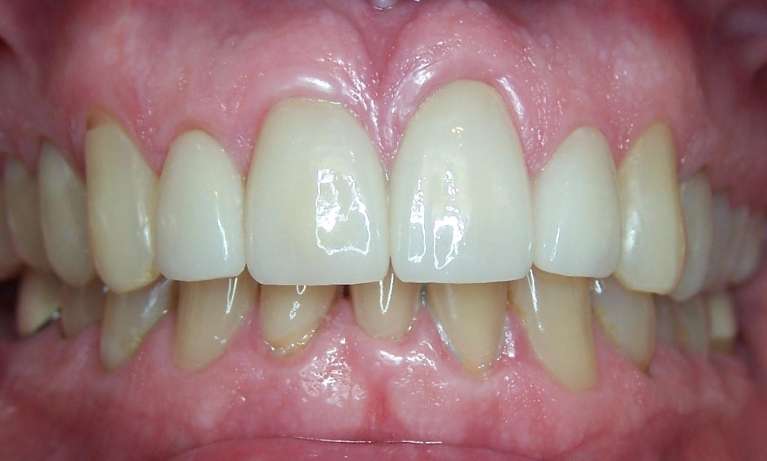
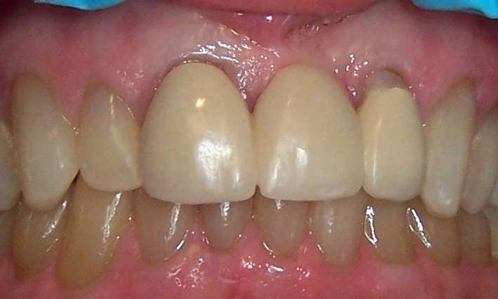
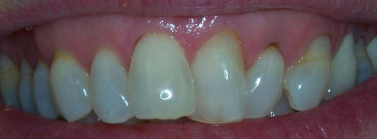
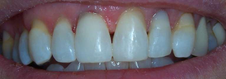
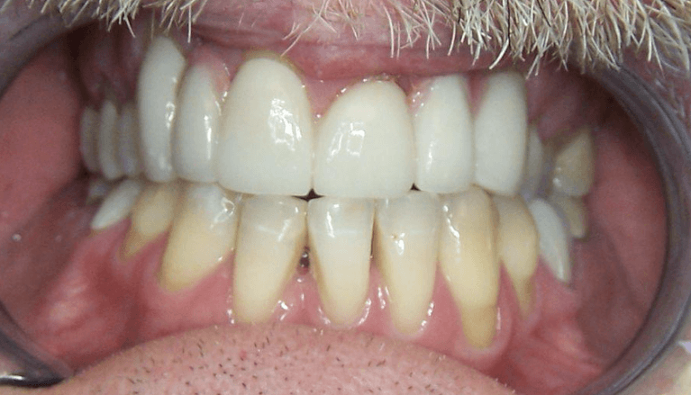
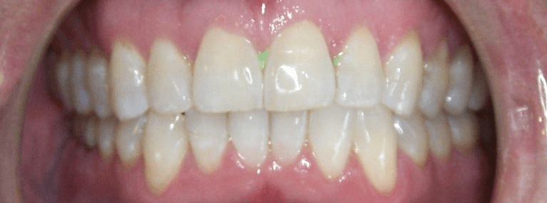
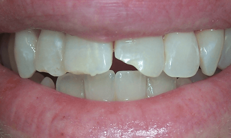
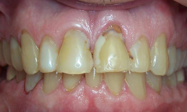
One of our favorite parts of dentistry is the life-changing effect it can have for our patients.
Our doctors have over forty years of experience restoring and enhancing smiles. Check out our smile gallery to see the transformations that patients just like you have experienced.
Smile Gallery Categories
